
35 Years of Experience.

Dr. Michael Zacher was born and raised in Phoenix, Arizona. He began his educational journey at St. Francis Xavier Elementary School, followed by enrollment at Brophy College Preparatory in Phoenix. He pursued his higher education at Creighton University In Omaha, Nebraska and the Creighton University School of Dentistry culminating in the attainment of his Doctor of Dental Surgery Degree in 1991.
Dr. Zacher is the official team Dentist of the Arizona Cardinals for the past 10 years, the official team Dentist of the Arizona Diamondbacks for the past 9 years and was the official team Dentist of the Phoenix Roadrunners for 6 years. Hired to these positions based on merit, not advertising dollars spent. These professional sports teams trust Dr. Zacher’s conservative and honest approach with each of the team’s personnel. He has also had the honor of being the Dentist of the Saudi Arabian Royal Family for 3 years.
With a decade-long affiliation, he is a ten-year member of Spear Education, six of which he spent as a Faculty Club Member. His dedication extends to mentoring numerous high school/ college students and young dentists, a role he takes a lot of pride in and deeply values. Additionally, he proudly serves on the Creighton University School of Dentistry Alumni Advisory Board as its Chairman. He actively engages in philanthropic endeavors, including past involvement in Mission of Mercy, Challenge Foundation, among others. Dr. Zacher is a three-decade LIFE member of the ADA, AZDA, and CADS, with prior membership in AGD and the American Academy of Facial Esthetics, Dr. Zacher’s commitment to professional associations is evident through his longtime involvement with Spear Education.
In his personal life, he shares a 30-year marriage with his wife Julie and is a proud father of two sons, John and Cole. Born to Dr. Richard and Carole Zacher, he is one of five brothers. Beyond his professional commitments, Dr. Zacher is an avid enthusiast of skiing, golfing, hiking, fly fishing, wake surfing, boogie-boarding, basketball, and pickleball! His allegiance to ASU, Arizona Cardinals, Arizona Diamondbacks, Creighton Blue Jays, Notre Dame Fighting Irish, and Phoenix Suns has endured over time. With a thriving private practice that has spanned over three decades within the same neighborhood, Dr. Zacher’s reputation is synonymous with integrity, honesty, and compassion, qualities that have contributed to the CONSERVATIVE, caring, and respected image he has diligently cultivated throughout his esteemed career.
Whether you need routine preventive care, cosmetic dentistry, or restorative procedures we have you covered!
Our comprehensive range of services includes:
We offer differed interest payment plans, for those who qualify. Care Credit is an outside financing company offering differed interest payments if balance is paid with the “12 month” promotional period. Please ask for details.
For your convenience, we file all claim submissions to any indemnity and PPO insurance plans. Please do not hesitate to call and ask for Rhonda if you have any questions regarding your insurance benefits.

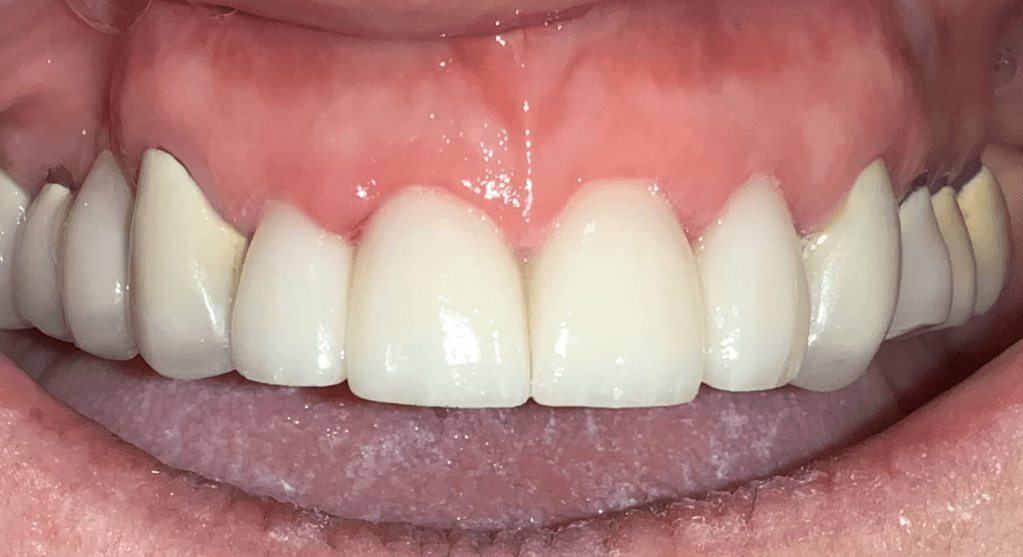
Dr. Zacher’s belief when it comes to cosmetic procedures is to give the patient what they want. He believes in offering his expertise and knowledge along with the parameters of creating beautiful smiles that he learned about through his many hours of continuing education in Cosmetic Dentistry.
Please note: Photos have not been airbrushed or retouched, this is our actual work.












Dr. Zacher is BLESSED and privledged to have multiple long term employees that make his office the very special place that it is…

Denise
Dental Hygienist (30 years)

Amy
Dental Hygienist (21 years)

Rhonda
Office Manager (18 years)

Deissy
Dental Assistant (15 years)

Karin
Dental Assistant (3 months)
“Warm and very friendly staff, prompt service and thorough care. Dr. Zacher is very approachable and kind.”
-John D.
“Excellence!! Excellent Staff; Excellent Professionalism; Excellent Manner; Excellent Humor; Excellent Friendliness; Excellent Care; Absolute Excellence in Everything!!! Thanks!”
-Amy S.
“Dr. Zacher goes above and beyond and shows extraordinary care for his patients. His staff is amazing following up and making patients a priority.”
-Paul M.
We invite you to experience the difference at Michael Zacher DDS.
Schedule your appointment today, and let us be your partners in achieving and maintaining optimal oral health. Dr. Zacher and his staff make it a priority to take care of our patients… even if it’s on a weekend or a holiday. Dr. Zacher feels strongly about this from his Jesuit Education’s mantra, “Men and Women for and With Others”
4507 North 36th Street
Phoenix, Arizona 85018
rhonda.michaelzacher@gmail.com
(602) 667-9229
Friday’s by appointment only.